詰め物・被せ物
-
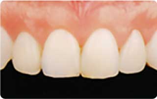
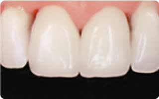
ラミネートベニア
Before

AfterPOINT前歯のすきっぱや、歯の変色が気になる方には、ラミネートベニアをおすすめいたします。
歯の表面をわずかに削り、セラミック素材のつけ爪のような薄い板を張り付ける治療法です。 -
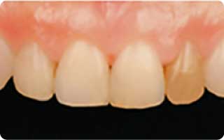
オールセラミック
Before

AfterPOINTオールセラミックは、金属アレルギーの心配もない、透明で美しく変色しにくい素材です。
天然歯に限りなく近い自然な仕上がりの歯を手に入れることができます。 -
メタルボンド
Before

AfterPOINT金属製の土台にセラミックを焼き付けた、耐久性と美しさを兼ね備えた素材です。
他の歯と調和するように、約20パターンの色の中から、最適な色調をお選びいただけます。 -
セラミックインレー
Before

AfterPOINT昔詰めた銀歯が気になっている方も多いのではないでしょうか。
セラミック素材のインレーを詰めることで、周りの天然歯と区別がつきにくい程に美しい歯が手に入ります。
年数が経っても変色しにくいことも特徴の一つです。
ダイレクトボンディング
-
Before

AfterPOINT白いペースト状の素材を、直接患部へ盛り付けていきます。
型取りをする必要がないため、期間のかかる他の詰め物と比べて、1日で治療が完了することが特徴です。
ホワイトニング
-
Before
AfterPOINT専用の薬剤を用いて、黄ばんだ歯に自然な白さを取り戻す治療です。
すぐに効果の出るオフィスホワイトニングと、白さが長持ちするホームホワイトニングをご用意しております。
ご要望に合わせて、より最適な方法をご提案いたします。
義歯・入れ歯
-
ノンクラスプデンチャー

Before

AfterPOINT金属の止め具を使用しない入れ歯です。
笑った際も金属が見えないため、入れ歯を入れていると気付かれにくいことが特徴です。 現在使用している入れ歯の見た目や使用感が気になる方は、ぜひご相談ください。


